前歯4本の部分入れ歯を目立たないドイツ式入れ歯で作り替え

部分入れ歯を使っている患者さまのお悩みは、
・金属の金具が見えてしまうため、見た目が悪い。
・食べ物がはさまりやすい。
・入れ歯の厚みに違和感を感じ、上手く喋れない。
・入れ歯が動くため、かみしめる事ができない。
などではないでしょうか?
これらのお悩みを解決できる入れ歯として、現在たくさんの種類の入れ歯があります。
そのほとんどが、金属の金具の部分を、ピンクや透明の樹脂で目立たなくするものです。

見た目が目立たなく、比較的費用もリーズナブルなため、患者さまも気軽に選ばれると思います。
しかし、基本的な構造は、保険で適応される入れ歯と同じ、金属の金具が、ピンクや透明の樹脂に置き換わっているだけなので、将来的に支えている歯を失ってしまう可能性があります。
患者さまの中には、見た目だけ目立たなければ良いと考え、奥歯には何も入っていない方も見受けられます。
しかし、上下の歯のかみ合わせのバランスがとれ、しっかりと奥歯でかみしめることができなければ、本当の口元の美しさは取り戻せないと思います。
目立たない入れ歯を入れ続けた結果、支えている健康な歯を失ってしまうのは残念なことです。
当院では、目立たない部分入れ歯、テレスコープ義歯を取り入れております。
テレスコープ義歯は、見た目が目立たないだけではなく、かみ合わせのバランスを考え、残っている歯を失わないように、設計し製作するため、将来的に長持ちする入れ歯です。
当院で治療をされた、患者さまの症例をご紹介させていただきたいと思います。
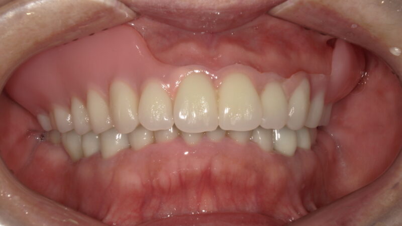
患者さまは、40代女性。
前歯4本の部分入れ歯を入れていますが、違和感があり、舌で入れ歯を押していないと外れてしまいます。金具の見えない、目立たない部分入れ歯を希望しています。
とご相談をいただきました。

上あごは、4本だけで、部分入れ歯を支えていました。
支えている歯もぐらつきがあり、舌で入れ歯を押し当てていないと、入れ歯がずれるため、見た目にも支障がありました。
4本の弱い歯で支えている入れ歯は限界でした。
そこで、残っている歯が少ない場合に適応する、レジリエンツテレスコープという方法で治療をさせていただきました。

レジリエンツテレスコープは、残っている歯に負担をかけず上あごの粘膜全体で入れ歯を支える方法です。

上あごの土台部分は、0.3ミリという薄さであり、密着することで、上あごと一体化することができます。

たとえ、4本の歯を失ってしまったとしても、修理をすることでそのままお使いいただくことができます。

患者さまが最初に感じていらっしゃったことは、やはり上あごの床の薄さです。
仮の入れ歯と比べて、舌で触った感じがまるで違うのにびっくりされていました。
「素晴らしい技術ですね。ありがとうございました。」
と、感想もいただき、私たちもとても嬉しく思いました。
レジリエンツテレスコープを製作してくれたのは、Weber dental labor の丸山さんです。

患者さまが一番美しく見えるように、あらゆる面から考察する、美的センスも備わっているため、患者さまはいつも喜んでくださっています。

当院のテレスコープ義歯は、全ての患者さまに入れ歯を製作する歯科技工士が立ち会うため、クオリティーを高め、患者さまの口元に一番合った方法をご提供させていただいております。
▼目立たない入れ歯、テレスコープ義歯について
入れ歯カウンセリングの
流れ・ご案内
実際に先生と会って話を聞きたい。
自分にはどのような方法が合っているのか、治療方法や 期間、費用について具体的なお話を聞きたいという方には、入れ歯カウンセリングをお勧めしております。
入れ歯のお悩みを動画で解決
YouTubeチャンネル「入れ歯のお悩み解決!稲葉歯科医院」では、実際に入れ歯を使っていただいている患者さまの感想や、入れ歯の構造や仕組みについてもわかりやすく動画で解説しております。
こちらのページで動画をカテゴリ別に掲載しておりますので、お探しの内容をぜひご覧ください。






















